쌈몸마 바디(psammoma body), 슈바노마(schwannoma)라는 희한한 이름이 나온다. 전자는 grade 1의 뇌수막종에서 발견되는 구조이고 후자는 PNS의 양성종양 ~> 예후가 좋거나, 병을 일으키지 않는다.
신경 병리 기초
신경계를 이루는 세포에는 neuron과 glia(astrocyte, oligodendrocyte...), 그리고 혈관과 수막의 벽을 이루는 세포 등이 있다.
* glia는 GFAP으로 검사한다. (둘 다 g로 시작)
저산소성 변화에 취약한 신경세포
pyramidal neuron (hippocampus CA1, neocortex L3&5)
purkinje cell
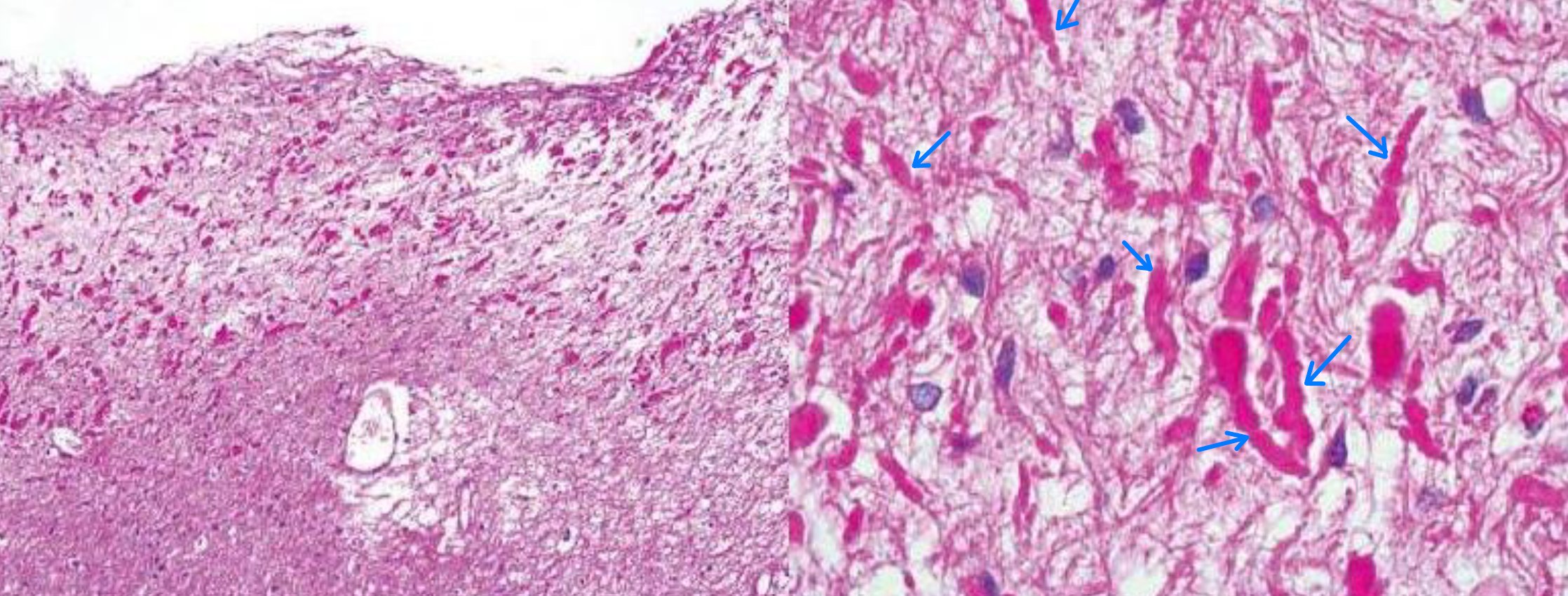
neuron inclusion


* hirano body는 hippocampus CA1에서 알츠하이머병, 픽병, 일부 CJD 때 나타난다. IHC actin(+)

astrocyte(별 모양) 병변
- enlargement(부풀어오름), fibrillary(가지 쭉쭉), piloid gliosis(돌기 많은 astrocyte), rosenthal fiber 등의 변화를 보인다.

oligodendrocyte(계란프라이 모양) 병변
LFB(luxol fast blue) 염색이 탈락한 곳을 보면 탈수초화(demyelination)된 것을 알 수 있다.
선천성기형
무뇌증
배아나이 4주차, 신경관 닫힘 결함으로 발생한다. 뇌 대신에 뇌혈관더미가 있다.
감염질환 병리
CNS 감염 경로
HDLP(hematogenous spread, direct implantation, local extension, peripheral nervous system)

PML(progressive multifocal leuko/encephalopathy)
면역 억제된 환자에게 발병한다. JC polyomavirus에 의해 oligodendrocyte가 감염되고, 탈수초화가 일어난다.


cerebral toxoplasmosis

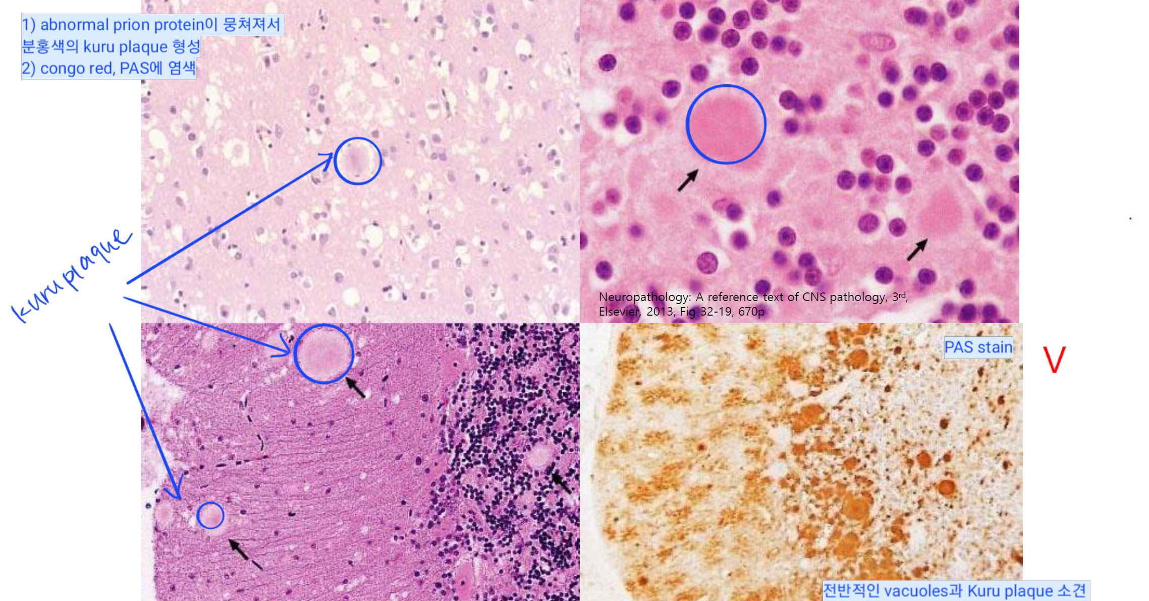
프리온 질환
vCJD

* vCJD의 특징적인 소견은 연하게 침착한 kuru plaque다.
classical / variant CJD 비교

신경계 종양
신경계 종양은 CNS(astrocytoma grade2~4, meningioma grade 1~3)와 PNS로 나뉘며 grade, 유전자 변이를 함께 표기해줘야 한다. 대부분 astrocytoma에 해당한다.
astrocytoma grading의 기준
grade 1
grade 2 : nuclear atypia
grade 3 : mitotic figures
grade 4 : microvascular proliferation, necrosis
astrocytoma


- grade 4는 IDH-mutant, CDKN2A / CDKN2B homozygous deletion이 확인된다.
glioblastoma (교모세포종)
- IDH-wild type, TERT mutation이 관찰된다.
- IDH는 야생형인데도 grade 4로 예후가 가장 나쁘다.


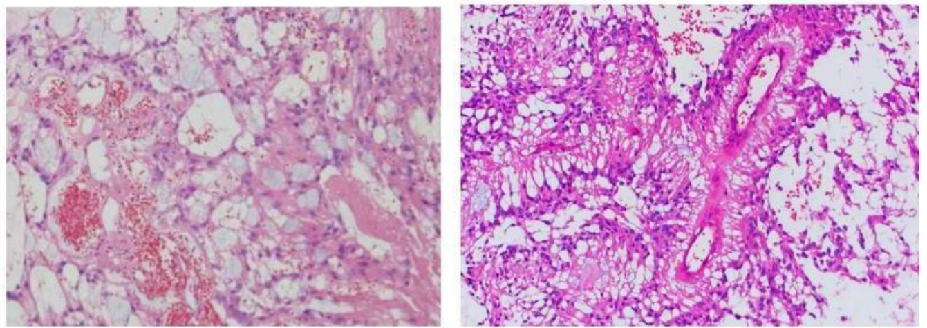
oligodendroglioma

- IDH-mutant, 1p/19q codeletion으로 진단한다. grade 2~3
- 계란프라이 모양과 맥아리 없는 혈관 모양이 특징적이다.
pilocytic astrocytoma

- 빈 공간(microcyst)과 빨간색 rosenthal fiber가 특징적이다.
- BRAF-mutant이고 grade 1로 예후가 좋다.
ependymoma(뇌실막세포종)
- 뇌실과 중심관을 감싸는 ependyma에서 발생하는 종양이다
supratentorial ependymoma
- 이건 상부에서 발생하는 뇌수종의 일종이다.
- 종양세포가 둥글게 배열되는 모습이 특징적이다.

maxopapillary ependymoma (grade 2)
- 척수의 filum terminale에서 발생한다.
- microcyst(구멍), papillary structure(오른쪽), myxoid background가 특징적이다.

medullo/blastoma
subtype은 WNT(예후 good), SHH, group 3(예후 bad), group 4(전연령)가 있다.

meningioma(뇌수막종)
수막에서 생기는 종양이다. 주로 뇌를 이야기한다. 여러 type이 있으며 대부분 grade 1이다. (뇌 바깥이라서)



schwannoma

- 말초신경계 grade 1 종양이다.
- cellularity가 높은 antoni A / 낮은 B로 나뉜다. 전자에는 특징적인 구조물 verocay body가 보인다.
'기초의학 > 신경과학' 카테고리의 다른 글
| [신경약리] 항우울제 (0) | 2025.12.19 |
|---|---|
| [신경약리] 항정신병제 & 항조증제 (0) | 2025.12.19 |
| [신경약리] 항간질제 (0) | 2025.12.18 |
| [신경약리] 진정제와 수면제 (0) | 2025.12.17 |
| [신경약리] 중추신경계 정보전달 (0) | 2025.12.16 |