ㅇㅇ
blood
- blood는 erythrocyte + leukocyte + platelet(thrombocyte) + plasma로 구성
- 이 중에 leukocyte = granulocyte(neutrophil, eosinophil, basophil) + agranulocyte(monocyte, lymphocyte)
그리고 plasma = fibrinogen + serum
WBC의 종류와 특징

1. Neutro : 가장 많음, 핵이 여러 엽
2. Eosino : 데드풀 모양, 빨간색
3. Baso : 보라색 과립이 빽뺵. heparin, histamine 생산
4. Mono : 핵이 강낭콩 모양, macro가 되어 포식작용, 항원제시와 사이토카인
* macrophage는 간에서 kupffer cell, 폐에서 alveolar macrophage, 뼈에서 osteoclast, 피부에서 langerhans cell, 림프절과 비장에서 dendritic cell로 분화한다.
5. Lympho : 중성구 다음으로 많음, B T NK cell로 모두 분화해야 하므로 핵이 꽉 차있음
중산염모림 순서대로 각 특징을 하나씩 외운다. 호산구는 데드풀이고 단핵구는 강낭콩이다.
- WBC의 diapedesis(혈관 탈주)에는 selectin, integrin이 관여한다.
림프계
- lymphoid organ과 cell, lymphatic vessel이 있다.
- 림프는 capillary의 plasma ~> ISF ~> lymphatic vessel ~> vein으로 이동한다.

- 근본 있는 primary lymphoid organ은 bone marrow(b니까 b cell), thymus(t니까 t cell)
* T cell은 골수에서 태어나 가슴샘에서 성숙한다.- secondary lymphoid organ은 lymph node, spleen, tonsil, mucosa-associated lymphoid tissue(MALT)
- organ은 그냥 기관이고 / nodule은 secondary lymphoid organ의 세부 구조임
B에는 구멍이 2개니까 2nd lymphoid organ 중에 second lymphoid nodule(노른자germinal center와 흰자mantle zone 2개로 구성됨)로 감
림프구의 성숙
- B cell은 골수에서 태어나고 성숙한다. plasma cell이 된다. B의 밑을 지우면 P가 됨
- T cell은 가슴샘으로 전학간다. helper CD4+, cytotoxic CD8+, regulatory T cell 등이 된다.
- NK cell은 타고난 킬러
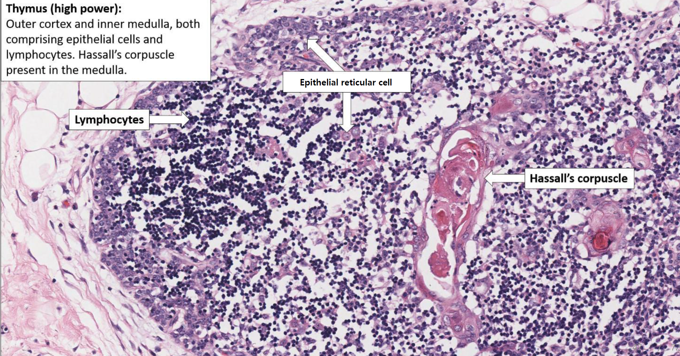
가슴샘

- reticular cell과 그것이 회오리치는 thymic corpuscle(hassall's corpuscle)을 가진다.
- cortex와 medulla로 구성된 lobule은 septum로 구분되고, 전체를 capsule이 감싼다.
- T cell은 cortex에서 medulla 방향으로 이동한다. 이때 epithelial reticular cell과 desmosome이 검문을 수행한다.

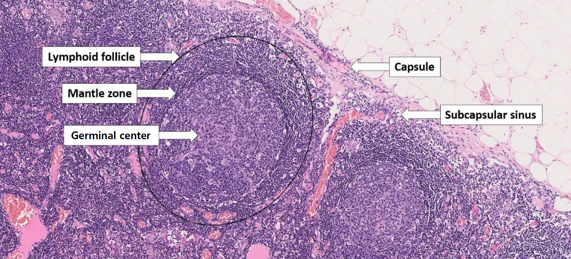
림프절

- 림프절은 secondary lymphoid organ이다.
* organ / nodule 용어 주의
- first lymphoid nodule은 paracortex와 medullary cord에 있다.
- secondary lymphoid nodule은 cortex 쪽의 germinal center와 mantle zone(더 빽빽)이다.
- lymphatic vessel은 들어오는 afferent 많고, 나가는 efferent는 하나임
- HE venule(high endothelial venule)은 혈관에서 lymphocyte가 튀어나가는 자리이며 주로 paracortex에 위치

spleen

- white pulp에는 백혈구 / red pulp에는 적혈구가 많다.
- 혈액이 들어오는 동맥 흐름(S T C P)과 나가는 정맥 흐름(S R T S)을 숙지한다.
- 수명이 다해 통통해진 적혈구는 penicillar arteriole로 나갔다가 sinusoid의 구멍으로 들어오지 못하고 macrophage에 의해 폐기된다.

MALT (mucosa가 있는 곳이면 대부분 있는 림프조직)
- MALT에는 gut의 peyer's patch, nasal의 tonsil 등이 있다.
* tonsil은 표면적을 넓히기 위한 tonsillar crypt를 가진다.
'기초의학 > 면역학' 카테고리의 다른 글
| [면역학] 림프구 발달 (0) | 2026.03.06 |
|---|---|
| [면역학] 주조직적합복합체(MHC)와 항원 제시 (0) | 2026.03.05 |
| [면역학] 림프구 수용체 유전자의 구성과 발현 (0) | 2026.03.04 |
| [면역학] 면역수용체 및 신호전달, 면역학 연구기법 (0) | 2026.03.04 |
| [면역학] 소개, 항원과 항체, T세포수용체(TCR) (0) | 2026.03.04 |